Dental Surgery
In dental lesions because of carious activity or trauma, the removed dental substance can be restored via the construction of a dental filling.

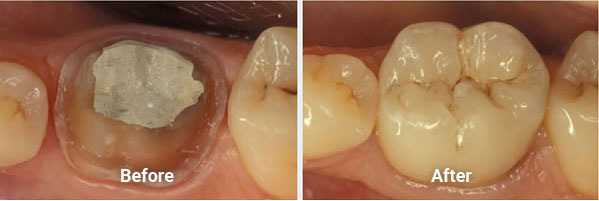
In the case the removed dental substance has a complex shape or it is extended, then it is possible to replace the dental deficit by creating resin or porcelain inlays. It is also possible to restore the extensive deficit tooth by constructing a dental crown for aesthetic and functional reasons.

Endodontic treated teeth that have a large dental deficit, it is highly recommended to be restored using dental pins and post in order to strengthen the remaining dental structure and to minimize the fracture possibilities during mastication.

