Οδοντική Χειρουργική
Σε οδοντικές βλάβες που οφείλονται σε τερηδονική δραστηριότητα ή σε ατύχημα είναι δυνατή η αποκατάσταση μικρών ή μεσαίων ελλειμμάτων της οδοντικής μάζας με σφράγισμα.

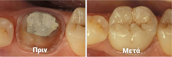
Σε περίπτωση που το έλλειμμα έχει πολύπλοκο σχήμα ή είναι πολύ εκτεταμένο τότε εκεί υπάρχει η δυνατότητα κατασκευής ένθετων ρητίνης ή πορσελάνης καθώς και η τοποθέτηση στεφάνης με σκοπό την άρτια αισθητική αλλά και λειτουργική αποκατάσταση του καταπονημένου δοντιού.

Σε δόντια που έχει γίνει ενδοδοντική θεραπεία και συνήθως η οδοντική μάζα πού παραμένει ακέραιη είναι πολύ μικρή κρίνεται αναγκαίο να τοποθετηθούν καρφίδες ή να κατασκευαστεί στο οδοντοτεχνικό εργαστήριο χυτός άξονας ο οποίος θα ενισχύσει την δομή του και θα μειώσει τις πιθανότητες κατάγματος κατά τη μάσηση.


