Προσθετική
Κλασική ακίνητη προσθετική (γεφύρες): Σε περιπτώσεις ελλείψης δοντιών στην πρόσθια ή στην οπίσθια περιοχή του στόματος υπάρχει η δυνατότητα κάλυψης του κενου χρησιμοποιώντας τα διπλανά υγιή δόντια ώς στηρίγματα. Υπαρχει η δυνατότητα επιλογής υλικού της κατασκευής το οποίο θα καλύπτει την αισθήτική αλλά και την οικονομική ικανότητα του ασθενούς.

Κλασική κινητή προσθετική:
Μερική οδοντοστοιχία: Σε περιπτώσεις ελλείψης πολλών δοντιών, όπου δεν είναι δυνατον να καλυφθεί το κενό με μια γέφυρα, υπάρχει η δυνατότητα κατασκευής μιας κινητης συσκευής (μασελάκι). Σε συνεργασια με το οδοντοτεχνικό εργαστήριο κατασκευάζεται μια συσκευή οποια κάλυπτει λειτουργικά και αισθητικά τα κενά που υπάρχουν στο στόμα. Η συσκευή αυτή ειναι απαραίτητο να βγαίνει κάθε βράδυ από το στόμα για να διατυρείται η υγεία του στοματικού βλενογόννου και να τοποθετείται σε ένα σκευος γεμάτο νερό, αφού πρώτα έχει πλυθεί και καθαριστεί απο υπολλειματα τροφων.

Ολική οδοντοστοιχεία: Όταν έχουν πια χαθεί όλα τα δόντια απο τη μία ή και τις δύο γνάθους του ασθενόυς μπορεί το έλλειμα ουλων και δόντιων να καλυφθει με μια ολική οδοντοστοιχεια (μασέλα). Η αισθητική της ολικής οδοντοστοιχίας ειναι αρκετά καλή λόγω της ομοιομορφίας που υπάρχει αφού όλα τα δόντια είναι φτιαγμένα απο το ίδιο υλικό. Η συσκευή αυτή ειναι απαραίτητο να βγαίνει κάθε βράδυ από το στόμα για να διατυρείται η υγεία του στοματικού βλενογόννου και να τοποθετείται σε ένα σκευος γεμάτο νερό, αφού πρώτα έχει πλυθεί και καθαριστεί απο υπολλειματα τροφων.

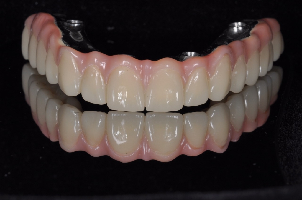
Επιεμφυτευματική Προσθετική: Αποτελούν την κορυφαία λύση αυτή τη στιγμή στην αποκατάσταση ελλειμάτων δοντιων. Βασικότερο πλεονέκτημα των εμφυτευμάτων είναι ότι δεν τροχίζονται τα υγιή παρακείμενα δόντια που θα αποτελούσαν στηρίγματα γεφυρών. Επίσης δίνεται η δυνατότητα σε άσθενείς που δεν επιθυμούν την αποκατάσταση με κινητές οδοντοστοιχείες να έχουν ένα εξαιρετικό αισθητικό και λειτουργικό αποτέλεσμα με μία ακίνητη επιεφυτευματική αποκατάσταση. Τέλος αξιζει να σημειωθεί ότι η τοποθέτηση εμφυτευμάτων μετά την εξαγωγή των δοντιών περιορίζει η και σταματά την απορροφηση του οστου των γνάθων που βλεπουμε σε ατομα μεγάλης ηλικίας.


